【科研干貨】生物樣品超薄切片技術與電鏡觀察(第三期/共三期)——細胞的超微結構
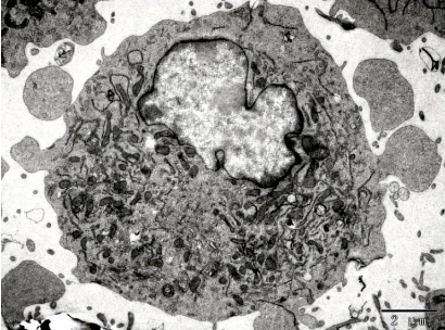
一、細胞的超微結構簡介 細胞的超微結構是指在光學顯微鏡無法觀察到的微觀層面上的細胞結構,主要有“細胞膜、線粒體、內質網、核糖體、糖原、高爾基復合體、溶酶體、中心體、細胞核、細胞骨架”等。這些超微結構在細胞代謝、運輸和信號傳導等過程能中起著重要作用。 二、常見的細胞超微結構 1、細胞的超微結構——細胞膜 細胞膜的超微結構組成主要包括磷脂雙分子層、膜蛋白和糖脂。磷脂雙分子層是細胞膜最基本的結構,它由兩層磷脂分子組成,每層磷脂分子的疏水性頭部朝向內部,親水性尾部朝向外部。這種結構使得細胞膜具有了半透性,可以選擇性地通過一些物質,從而阻止其他物質的進出。 2、細胞的超微結構——線粒體 線粒體是一種存在于大多數細胞中的由兩層膜包被的細胞器,外膜包繞線粒體,內膜向內腔反復折疊形成線粒體嵴。它既是細胞中制造能量的結構,又是細胞進行有氧呼吸的主要場所,被稱為“power house”。其直徑在0.5—1.0μm左右。 線粒體的化學組分主要包括水、蛋白質和脂質,此外還含有核酸、少量的輔酶等小分子。 3、細胞的超微結構——內質網 內質網是由一層單位膜所形成的囊狀、泡狀和管狀結構,并形成一個連續的網膜系統,是細胞中的重要細胞器。由于它靠近細胞質的內側,故稱為內質網。其依據內質網膜外表面是否有核糖體附著,分為滑面內質網和粗面內質網。 滑面內質網通常由有分支的小管或小泡結構組成,是細胞內合成脂類物質的重要部位。 粗面內質網表面有大量核糖體附著,主要功能為合成分泌蛋白,如肽類、酶類及抗體等。 4、細胞的超微結構——核糖體 核糖體是細胞中負責蛋白質合成的重要細胞器,它將mRNA上的遺傳信息轉化為具體的蛋白質序列,從而實現生物體內蛋白質的合成和功能發揮。核糖體形態為不規則顆粒狀結構,直徑10-25nm。 6、細胞的超微 糖原(Glycogen)是一種多聚糖,是由葡萄糖分子通過α-1,4-糖苷鍵和一些α-1,6-糖苷鍵連接而成的大分子。糖原合成于細胞質,是細胞的能源儲存。糖原顆粒可以散在或成堆分布于細胞質內,也偶見于細胞核、線粒體及內質網等細胞器中 。在電子顯微鏡下觀察,糖原為無被膜包裹的無定型顆粒,α糖原顆粒較大約100nm,呈玫瑰花簇樣結構,而 β糖原顆粒呈圓形較小約40nm,一般認為 α糖原顆粒由 β 糖原顆粒聚集而成。 7、細胞的超微結構——高爾基復合體 高爾基復合體是細胞內蛋白質合成和糖類加工場所,主要功能為將粗面內質網合成的蛋白再加工修飾,最后以出芽的方式形成分泌泡,通過胞吐可以運輸到細胞外,參與細胞分泌活動。 8、細胞的超微結構——溶酶體 溶酶體是分解蛋白質、核酸、多糖等生物大分子的細胞器,具有水解酶的膜包裹結構,主要負責物質的降解和消化,參與消化物質、噬菌作用、廢物處理和細胞自噬等重要功能。其通過酸性pH和水解酶的活性,實現對物質的分解和清除,維持細胞內環境的穩定。根據內含物和形成階段的不同,溶酶體可分為兩大類:①具有均質基質的顆粒狀溶酶體稱為初級溶酶體(primary lysosome),②含有復雜的髓磷脂樣結構的液泡狀溶酶體稱為次級溶酶體(secondary lysosome)。 9、細胞的超微結構——中心體 中心體(centrosome)是動物細胞中一種重要的細胞器,由中心粒和其他相關成分組成。它在細胞分裂、微管組裝和細胞極性調控中發揮重要作用。因其位于細胞核附近的細胞質中,接近于細胞的中心,因此叫中心體。在電子顯微鏡下可以看到,每個中心體含有兩個中心粒,這兩個中心粒相互垂直排列。 10、細胞的超微結構——細胞核 細胞核(nucleus)是真核細胞內最大、最重要的細胞結構,是細胞遺傳與代謝的調控中心,是真核細胞區別于原核細胞最顯著的標志之一(極少數真核細胞無細胞核,如哺乳動物的成熟的紅細胞,高等植物成熟的篩管細胞等)。它主要由核膜(nuclear membrane)、染色質(chromatin)、核仁(nucleolus)、核基質(nuclear matrix) 等組成。細胞核是細胞內遺傳信息的儲存、復制和轉錄的主要場所。 11、細胞的超微結構——細胞骨架 細胞骨架是胞漿中一組由纖維狀結構組成的網架,包括微管(microtubule,MT)、微絲(microfilament,MF)及中間纖維(intermediate filament, IF),具有支撐和維持細胞形態及細胞運動的功能。 它所組成的結構體系稱為“ 細胞骨架系統”,與細胞內的遺傳系統、生物膜系統、并稱“細胞內的三大系統”。 纖毛內部有微管和微絲,在電鏡下我們能看到能清楚看到微管的動力臂結構,且對稱排列組合,當微管組合異常和動力臂缺失時會引發原發性纖毛不動綜合征 本文部分內容摘自《腦腫瘤與神經組織電鏡圖譜》編著 孫異臨 人民衛生出版社 編寫:裴 霞 制作:李慧芳 審核:王 萍 校對:李鳳麗、趙勝藍、殷 雪











圖片來源:《腦腫瘤與神經組織電鏡圖譜》編著 孫異臨 人民衛生出版社